В Клиниката по УНГ болести на УМБАЛ-Бургас спасиха 11-годишно момче със заседнал зъб между трахеята и десния бронх. Направена е спешна и трудна операция, по време на която зъбът е изваден. Два дни детето прекарва в реанимация, но вече е извън опасност и се възстановява.
Случаят е много рядък, тъй като момчето е живяло така близо две седмици. То е аспирирало зъба по време на сън.
„Легна си с разклатен зъб, на сутринта зъба го нямаше. Закашля се, решихме, че го е глътнал и ще излезе по естествен път. Ходеше на училище, на плуване, в началото не показа, че има някакъв проблем“, разказа майката на момчето.
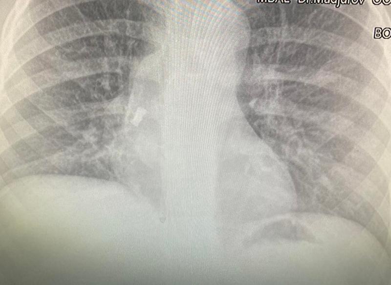
След известно време синът й започва да вдига температура, лекуван е с антибиотици, но температурата продължава. Личният лекар назначава рентгеново изследване и на снимката се вижда зъбът. От него се е развила инфекция на дихателните пътища, което обяснява повишената температура. Момчето е прието по спешност, операцията е извършена почти веднага от УНГ-специалистите доц. д-р Даниел Петков, д-р Ивайло Илиев и анестезиолога д-р Антон Григоров.
„Трябваше да се действа бързо, защото имаше реален риск от фатален край. Зъбът можеше да запуши дихателните пътища, да доведе до невъзможност да си поеме въздух“, разказа д-р Цветелина Григорова от Клиниката по УНГ болести.
Операцията изисква майсторство и поставя на голямо изпитание целия екип. Дори специален инструмент трудно захваща хлъзгавия зъб. Още повече, че това се случва през тръбата, с която детето е интубирано и тя трябва да се извади и постави наново няколко пъти. Операцията травмира трахеята, гласните връзки и дихателните пътища, затова се налага престой в реанимация. Впоследствие от травматичните увреди се развива и пневмония, която вече е овладяна.
„Благодарна съм на всички лекари в УМБАЛ-Бургас, които спасиха сина ми. Имаме прекрасни специалисти, които за съжаление работят при трудни условия. Нямам думи да им благодаря, а на всички бургазлии искам да кажа, че трябва да ценим факта, че имаме къде да получим адекватна спешна и животоспасяваща помощ“, сподели майката на детето Елка Далчева.


